IKK epsilon-KO Dual Reporter THP-1 Cells

NF-κB-SEAP & IRF-Lucia reporter human monocytes - IKKε deficient

ABOUT

IKKε knockout dual reporter monocytes

THP1-Dual™ KO-IKKε cells were generated from the THP1-Dual™ cell line, which is derived from the human THP-1 monocytic cell line, through the stable knockout of the IKKε gene. THP1-Dual™ KO-IKKε cells feature two reporters allowing the study of the IRF pathway, by monitoring the activity of an inducible secreted Lucia luciferase, and the NF-κB pathway by monitoring the activity of an inducible SEAP (secreted embryonic alkaline phosphatase). Lucia luciferase and SEAP activities are readily assessable in the supernatant using QUANTI-Luc™ 4 Lucia/Gaussia and QUANTI-Blue™ Solution detection reagents, respectively.

 

IKK-related kinases IκB kinase ε (IKKε), also known as IKK-inducible or IKK-i, is an IKK-related kinase. IKKε is highly similar to the other reported IKK-related kinase, TANK binding kinase 1 (TBK1), and both play an essential role in innate immune responses. Notably, their roles and signaling pathways are highly intertwined (i.e. IKKε/TBK1), thus there remain many uncertainties about the individual function of these kinases [1-3]. Therefore, a comparison between THP1‑Dual™ KO‑IKKε and InvivoGen's THP1-Dual™ KO-TBK1 cells allows both overlap and differences in signaling functions between IKKε and TBK1 to be fully elucidated (see figures).

 

Read more More details

 

Key Features:

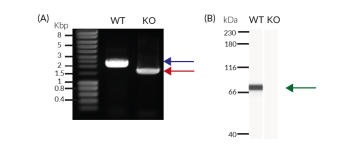
  • Verified knockout of the IKKε gene (PCR, DNA sequencing, Western blot, and functional assays)
  • Functionally validated with a selection of PRR ligands and cytokines
  • Readily assessable Lucia luciferase and SEAP reporter activities
  • The stability for 20 passages, following thawing, has been verified
  • Guaranteed mycoplasma-free

Applications:

  • Defining the role of IKKε in PRR-induced signaling, or related cell signaling pathways
  • Highlighting possible overlap and/or differences between IKKε and TBK1 signaling functions (see figures)
  • Developing novel IKKε specific inhibitors

 

References:

1. Chau, T.L. et al. 2008. Are the IKKs and IKK-related kinases TBK1 and IKK-epsilon similarly activated? Trends Biochem Sci 33, 171-180.
2. Clement, J.F. et al. 2008. The IKK-related kinases: from innate immunity to oncogenesis. Cell Res 18, 889-899.
3. Verhelst, K. et al. 2013. IkappaB kinase epsilon (IKKepsilon): a therapeutic target in inflammation and cancer. Biochem Pharmacol 85, 873-880.

Disclaimer:  These cells are for internal research use only and are covered by a Limited Use License (See Terms and Conditions). Additional rights may be available.

SPECIFICATIONS

Specifications

Species
Human
Tested applications

Screening of PRR agonists or inhibitors

Cell type
Monocytic
Growth properties
Suspension
Tissue origin
Human monocytes
Reporter gene
SEAP
Lucia®
Detection method
Colorimetric / Luminescence
Antibiotic resistance
Blasticidin
Zeocin®
Growth medium

Complete RPMI (see TDS)

Mycoplasma-free

Tested and validated using PlasmotestTM.

Quality control

Each lot is functionally tested and validated

CONTENTS

Contents

  • Product: 
    THP1-Dual™ KO-IKKε Cells
  • Cat code: 
    thpd-koikke
  • Quantity: 
    3-7 x 10^6 cells
Includes:
  • 1 ml of Normocin™ (50 mg/ml)
  • 1 ml of Zeocin® (100 mg/ml)
  • 1 ml of Blasticidin (10 mg/ml)
  • 1 tube of QUANTI-Luc™ 4 Reagent (sufficient to prepare 25 ml)
  • 1 ml of QB reagent and 1 ml of QB buffer (sufficient to prepare 100 ml)

Shipping & Storage

  • Shipping method:  Dry ice
  • Storage:

    • Liquid nitrogen vapor
    Stability: 20 passages

Details

IKKε Background

‘IKK-related kinases IκB kinase ε’ (IKKɛ), also known as IKK-inducible or IKK-i, is an IKK-related kinase. IKKɛ is highly similar to the other reported IKK-related kinase, TANK binding kinase 1 (TBK1), and both play an essential role in the innate immune response to bacterial and viral pathogens. Notably, their roles and signaling pathways are highly intertwined (i.e. IKKɛ/TBK1), thus there remain many uncertainties about their individual functions [1-3]. However, it is clear that they act downstream of a number of pattern recognition receptors (PRRs) such as the DNA-sensing cGAS, the RNA‑sensing RIG-I, as well as TLRs (e.g. TLR3 & TLR4). Ultimately, the stimulation of these PRRs activates IKKɛ/TBK1 promoting the induction of pro-inflammatory cytokines and interferons (IFNs) through the phosphorylation of NF-ĸB (i.e.p65) or interferon regulatory factors (IRF3 and IRF7), respectively [1, 3]. Activation of IKKɛ/TBK1 requires the binding of different scaffold proteins (TANK, NAP1, SINTBAD), which allow them to mediate their various phosphorylation activities [1, 3]. Interestingly, studies focusing on IKKɛ in particular, highlight an important role in the development of inflammatory diseases (e.g. Rheumatoid arthritis) [3]. Furthermore, IKKɛ is considered an oncogene due to its implication in multiple cancers [2, 3]. Thus, IKKɛ is considered a potential therapeutic target in the clinic.  

 

References:

1. Chau, T.L. et al. 2008. Are the IKKs and IKK-related kinases TBK1 and IKK-epsilon similarly activated? Trends Biochem Sci 33, 171-180.
2. Clement, J.F. et al. 2008. The IKK-related kinases: from innate immunity to oncogenesis. Cell Res 18, 889-899.
3. Verhelst, K. et al. 2013. IkappaB kinase epsilon (IKKepsilon): a therapeutic target in inflammation and cancer. Biochem Pharmacol 85, 873-880.

DOCUMENTS

Documents

THP1-Dual™ KO-IKKε Cells

Technical Data Sheet

Safety Data Sheet

Validation Data Sheet

Certificate of analysis

Need a CoA ?

CUSTOMER SERVICE & TECHNICAL SUPPORT

Question about this product ?