Mouse ASC-expressing and Caspase 11-KO RAW 264.7 Cells

ASC-OE & CASP11-KO mouse macrophages

ABOUT

Caspase-11 knockout in RAW 264.7 cells

Murine caspase-11 (CASP11) is an inflammatory caspase playing a crucial role in the non‑canonical inflammasome responses to intracellular lipopolysaccharide (LPS) [1-3].

More details

 

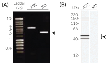
InvivoGen has generated RAW-ASC KO-CASP11 cells from the RAW-ASC cell line, which derives from the naturally ASC deficient RAW 264.7 macrophage cell line [4]. RAW-ASC KO-CASP11 cells stably express the transfected murine ASC gene and have a stable knockout of the caspase-11 (CASP11) gene.

• RAW-ASC KO-CASP11 cells – Knockout (KO) of the CASP11 gene and expression of the murine ASC gene

The secretion of mature IL-1β is impaired in RAW-ASC KO-CASP11 cells upon activation of the non-canonical (caspase-11) inflammasome when compared to the parental cell line. However, this response is comparable to the parental RAW-ASC cells upon canonical inflammasome activation. This cell line is a useful tool to study the role of CASP11 in the inflammasome responses and is an alternative to the in vitro differentiation of mouse bone-marrow-derived macrophages.

 

FEATURES OF RAW-ASC KO-CASP11 CELLS:

  • Verified biallelic knockout of the CASP11 gene and stable expression of the ASC gene (Western blot)
  • Impaired mature IL-1β secretion after non-canonical inflammasome activation by LPS
  • Alternative cellular assay to the in vitro differentiation of mouse bone-marrow-derived macrophages

 

Download our Practical guide on Inflammasomes

 

References:

1. Kayagaki N. et al., 2011. Noncanonical inflammasome activation targets caspase-11. Nature. 479:117.
2. Kayagaki N. et al., 2015. Caspase-11 cleaves gasdermin D for non-canonical inflammasome signalling. Nature. 526:666.
3. Shi J. et al., 2014. Inflammatory caspases are innate immune receptors for intracellular LPS. Nature. 514:187.
4. Pelerin P. et al., 2008. P2X7 receptor differentially couples to distinct release pathways for IL-1β in mouse macrophage. J. Immunol. 180:7147.

Disclaimer:  These cells are for internal research use only and are covered by a Limited Use License (See Terms and Conditions). Additional rights may be available.

SPECIFICATIONS

Specifications

Species
Mouse
Tested applications

Inflammasome activation cellular assays

Cell type
Monocytic
Growth properties
Adherent
Tissue origin
Mouse macrophages
Antibiotic resistance
Blasticidin
Growth medium

Complete DMEM (see TDS)

Mycoplasma-free

Verified using Plasmotest™

Quality control

Each lot is functionally tested and validated.

CONTENTS

Contents

  • Product: 
    RAW-ASC KO-CASP11 Cells
  • Cat code: 
    raw-kocasp11
  • Quantity: 
    3-7 x 10^6 cells
Includes:
  • 1 ml of Normocin™ (50 mg/ml). Normocin™ is a formulation of three antibiotics active against mycoplasma, bacteria, and fungi.
  • 1 ml of Blasticidin (10 mg/ml)

Shipping & Storage

  • Shipping method:  Dry ice
  • Storage:

    • Liquid nitrogen vapor
    Stability: 20 passages

Details

CASP11 and its human orthologs CASP4 and CASP5 are "non-canonical inflammasomes" that sense intracellular lipopolysaccharide (LPS) from Gram-negative bacteria and cause inflammatory responses, independently of TLR4 [1-3]. In the context of bacterial infection, LPS can be released from lysed bacteria as “free” LPS aggregates or actively delivered to the host cell through the release of small spherical bodies that encapsulate many bacterial components (i.e. toxins, DNA, RNA, and LPS) termed outer membrane vesicles (OMVs).
CASP11 directly binds to the lipid A moiety of LPS, which features a variable number of acylated fatty acid chains depending on the bacterial strain [2,3]. Of note, CASP11 expression is weak in resting cells and can be induced through NF-κB or STAT1 activation [4]. CASP11 (and CASP4/5) cannot cleave pro-IL-1β and IL-18. However, they trigger the cleavage of the pore-forming protein gasdermin D (GSDMD), leading to the release of alarmins and K+ efflux. Ultimately, this induces the activation of NLRP3 and CASP1-mediated IL-1β/-18 maturation and secretion [3].

 

1. Kayagaki N. et al., 2011. Noncanonical inflammasome activation targets caspase-11. Nature. 479:117.
2. Kayagaki N. et al., 2015. Caspase-11 cleaves gasdermin D for non-canonical inflammasome signalling. Nature. 526:666.
3. Shi J. et al., 2014. Inflammatory caspases are innate immune receptors for intracellular LPS. Nature. 514:187.
4. Rathinam. et al., 2012. TRIF Licenses Caspase-11-Dependent NLRP3 Inflammasome Activation by Gram-Negative Bacteria. Cell. 150:606.

DOCUMENTS

Documents

RAW-ASC KO-CASP11 Cells

Technical Data Sheet

Validation Data Sheet

Safety Data Sheet

Certificate of analysis

Need a CoA ?

CUSTOMER SERVICE & TECHNICAL SUPPORT

Question about this product ?