Recombinant Human Fc-h4-1BBL Fusion Protein

Soluble human 4-1BBL (CD137L) fused to an IgG1 Fc domain

ABOUT

Soluble human 4-1BBL (CD137L) fused to an IgG1 Fc domain

Protein description

InvivoGen offers Fc-h4-1BBL, a soluble human 4-1BBL (CD137L) chimera protein generated by fusing the N-terminal extracellular domain of human 4-1BBL (aa 50-254) to the C-terminus of a human IgG1 Fc domain with a TEV (Tobacco Etch Virus) sequence linker.
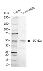
Fc-h4-1BBL has been produced in CHO cells and purified by affinity chromatography. It has an apparent molecular weight of ~50 kDa on an SDS‑PAGE gel.

 

4-1BBL background

4-1BBL (CD137L) is a Type II transmembrane protein and a member of the TNFR family known as the ligand for 4-1BB (CD137 or TNFSF9). 4-1BB is expressed on a multitude of cells including activated CD8+ and CD4+ T cells, and 4-1BBL is expressed on antigen-presenting cells (APCs) [1]. The 4-1BB/4-1BBL interaction triggers an NF‑κB‑dependent signaling, powerfully augmenting T cell activation, proliferation, and survival [1]. The 4-1BB/4-1BBL pair is thus considered a costimulatory immune checkpoint [1].

More details More details

 

Applications

  • Screening of high-affinity anti-human 4-1BBL monoclonal antibodies by ELISA
  • Screening of anti-human 4-1BB monoclonal antibodies using competition assays

Quality control

  • Size and purity confirmed by SDS-PAGE
  • Protein validated by ELISA using an Anti-h4-1BBL monoclonal antibody
  • Protein validated by flow cytometry using Jurkat-Lucia™ h4-1BB cells
  • Protein potency at triggering intracellular signaling validated using Jurkat-Lucia™ h4-1BB cells

 

Reference

1. Bartkowiak, T. & Curran, M.A. 2015. 4-1BB Agonists: Multi-Potent Potentiators of Tumor Immunity. Front Oncol 5, 117.

All InvivoGen products are for internal research use only, and not for human or veterinary use.

SPECIFICATIONS

Specifications

Source
CHO cells
Species
Human
Accession sequence

NM_003811.3

Protein size
205 a.a. (secreted form)
Molecular weight
~50 kDa (SDS-PAGE)
Tag
Fc, N-ter
Purity
>91% (SDS-PAGE)
Formulation buffer

Sodium phosphate buffer with glycine, saccharose, and stabilizing agents

Appearance (form)
Lyophilized powder
Appearance (color)
White
Endotoxin

Negative (tested using EndotoxDetect™ assay)

Tested applications

Flow cytometry, ELISA, Cellular assays

Applications

Screening of high-affinity anti-human 4-1BBL monoclonal antibodies by ELISA, Screening of anti-human 4-1BB monoclonal antibodies using competition assays

Quality control

Each lot is functionally tested and validated.

CONTENTS

Contents

  • Product: 
    Fc-h4-1BBL
  • Cat code: 
    fc-41bbl
  • Quantity: 
    50 µg
Includes:

1.5 ml of endotoxin-free water

Shipping & Storage

  • Shipping method:  Room temperature
  • Storage:

    • -20°C

    Caution:

    • Avoid repeated freeze-thaw cycles

Details

The 4-1BB/4-1BBL immune checkpoint

The 4-1BB/4-1BBL axis plays an important role in immune regulation and is considered an immune checkpoint (IC)

4-1BB (aka CD137 or TNFSF9) is a member of the TNFR (tumor necrosis factor receptor) superfamily. In humans, 4-1BB is expressed on a multitude of cells of the hematopoietic lineage. It is found on the surface of activated CD8+ and CD4+ T cells, including regulatory T cells (Tregs). Additionally, its expression can be induced on Natural Killer (NK) cells, B cells, monocytes, and  dendritic cells (DCs) upon activation [1,2].

4-1BBL (aka CD137L) is also a member of the TNFR family and is known as the sole ligand for 4-1BB. In humans, 4-1BBL is expressed in T cells, B cells, DCs and macrophages [1,2].

The interaction of 4-1BB on T cells with its ligand, 4-1BBL (CD137L), on antigen-presenting cells (APCs), triggers a TRAF1/TRAF2/NF‑κB‑dependent signaling which powerfully augments T-cell activation, proliferation, and survival [1]. This co-stimulatory axis also mediates the generation of memory T cells [1]

 

The 4-1BB/4-1BBL immune checkpoint in cancer

4-1BB expression in activated T cells has been an attractive target for cancer immunotherapy. Different strategies have been explored.
Two human agonistic monoclonal antibodies (mAbs) directed at 4-1BB, utomilumab (PF-05082566) and urelumab (BMS-663513), have entered phase I/II clinical trials. Whereas the IgG2 utomilumab is safe with relatively low efficacy, the IgG4 urelumab has a great antitumor efficacy but causes liver damage [2,3]. Utomilumab is being extensively tested in combination with IC inhibitory antibodies (e.g. Anti-CTLA-4 and Anti-PD-1) to treat different tumors, such as non-small cell lung cancer, kidney, head, and neck cancer [1,3]. Of note, agonistic 4-1BB mAbs may act on the depletion of Tregs through Fc-mediated effector functions [3]. A new generation of 4-1BB agonistic mAbs, other than utomilumab and urelumab, are being tested and are referenced in [2].
4-1BB-derived domains have been widely studied as costimulatory domains for genetically engineered T cells expressing chimeric antigen receptors (CART). The activation of the 4-1BB signaling in these CART cells promotes the formation of memory CART cells and long-term immune response against cancer cells [2,3].
4-1BB is expressed in various types of hematologic cancers and 4-1BBL in tumor cells, including carcinoma and colon cancers. However, the precise functions of 4-1BB/4-1BBL remain unclear in these malignancies [1, 2].

 

References:

1. Bartkowiak, T. & Curran, M.A. 2015. 4-1BB Agonists: Multi-Potent Potentiators of Tumor Immunity. Front Oncol 5, 117.
2. Singh, R. et al., 2024. 4-1BB immunotherapy: advances and hurdles. Experimental & Molecular Medicine. 56(1):32-39.
3. Mascarelli, D.E, et al., 2021. Boosting Antitumor Response by Costimulatory Strategies Driven to 4-1BB and OX40 T-cell Receptors. Front. Cell Dev. Biol. 10.3389/fcell.2021.692982.

DOCUMENTS

Documents

Fc-h4-1BBL

Technical Data Sheet

Validation Data Sheet

Safety Data Sheet

Certificate of analysis

Need a CoA ?

CUSTOMER SERVICE & TECHNICAL SUPPORT

Question about this product ?